
Постгипоксическая энцефалопатия – состояние, которое характеризуется изменением структуры мозговой ткани и нарушением функций мозга вследствие перенесенного кислородного голодания. Прогрессирование дегенеративных изменений в мозговом веществе коррелирует с задержкой умственного и физического развития детей.
Последствия повреждения тканей ЦНС в перинатальный период – основная причина развития неврологических нарушений у пациентов раннего детского возраста. Одно из осложнений – ДЦП (церебральный паралич).
Распространенность ПЭП (перинатальная энцефалопатия) гипоксического генеза составляет около 5% случаев среди общего числа новорожденных.
Перинатальная ишемическая энцефалопатия – повреждение мозга органического типа, связанное с дефицитом кислорода в клетках нервной ткани. Чаще кислородное голодание спровоцировано недостаточностью мозгового кровотока. Последствия патологического процесса не ограничиваются характерной симптоматикой в первые месяцы жизни.
Кислородное голодание мозговой ткани в период внутриутробного развития или в ходе родового процесса сказывается на функционировании мозга в дальнейшем. У детей, перенесших состояние гипоксии, часто возникают неврологические нарушения и изменение структуры мозговой ткани, что обнаруживается в ходе нейровизуализации.
Распространенное последствие – синдром церебральной гипертензии (стойкое повышение значений внутричерепного давления). Тяжесть последствий определяется характером и степенью повреждения мозга.
При незначительных изменениях структуры мозгового вещества, нарушения у новорожденных детей в будущем могут проявляться неусидчивостью, невозможностью концентрировать внимание, гиперактивностью.
При повреждениях тяжелой степени высока вероятность развития ДЦП.
Гипоксическая энцефалопатия у взрослых развивается на фоне перенесенных эпизодов кислородного голодания, которые ассоциируются с кратковременной остановкой дыхания или сердечной деятельности (терминальные состояния).
Апноэ (кратковременное прекращение дыхания) возникает на фоне бронхиальной астмы или коклюша.
Гипоксическое состояние у взрослых часто развивается при недостаточности мозгового кровотока, спровоцированной патологиями сердца или питающих мозг артерий.
Распространенные этиологические факторы, вызывающие гипоксические состояния у взрослых: асфиксия (удушье) из-за попадания в дыхательные пути инородных тел, утопление, паралич мускулатуры дыхательной системы вследствие отравления ядами или наркотическими веществами. Спровоцировать гипоксическое состояние может аллергическая реакция, сопровождающаяся отеком Квинке и сужением дыхательных путей.
Выявление причин гипоксии в перинатальный период сопряжено с трудностями. Обычно возникновение патологии связывают с осложнением течения беременности или родов. В 30% случаев новорожденным детям с гипоксически-ишемическими изменениями головного мозга ставят ошибочный диагноз.
Гипоксия ассоциируется с изменением реологических характеристик крови и с повреждением всех структур мозга, в том числе клеток нервной ткани и элементов кровеносной системы. Паталогические процессы приводят к масштабным органическим повреждениям, которые чаще носят диффузный характер.
Возникшие нарушения влияют на адаптацию организма младенца к окружающей среде, определяют степень тяжести течения заболевания и прогноз.
Фетоплацентарная недостаточность, протекающая в хронической форме, и маловодие становятся причиной патологии в 15% случаев.
Причины перинатальной энцефалопатии гипоксического генеза в 85% случаев связаны с болезнями, перенесенными матерью в период гестации:
В патогенезе немаловажную роль играет наследственная предрасположенность. В большинстве случаев у родителей и родственников грудничков с признаками поражения мозга гипоксической этиологии выявлялись цереброваскулярные патологии разных форм и генеза, в анамнезе многих из них значился инсульт.
Основные факторы, провоцирующие перинатальные поражения ЦНС у детей грудного возраста: внутриутробные инфекции (10%), эндокринные нарушения (8%), повреждения травматической природы (7%). Среди этиологических факторов, влияющих на развитие патологии у новорожденных, особое место занимает асфиксия, связанная с внутриутробной инфекцией, внутричерепным повреждением или родовой травмой.
Родовые травмы чаще ассоциируются с неправильным предлежанием плода или слабостью родовой деятельности (недостаточность интенсивности, длительности, периодичности сокращения мышц, выстилающих стенки матки). Токсико-гипоксическая энцефалопатия у взрослых и детей развивается на фоне отравления фармакологическими средствами и другими токсическими веществами.
Симптомы ГИЭ у новорожденного обнаруживаются при помощи тестирования по шкале Апгар. Нередко в околоплодных водах обнаруживаются следы мекония (первые фекалии). Умеренная степень гипоксии может проявляться у новорожденного незначительно. Позже изменения, в том числе неврологический дефицит, обнаруживаются во время осмотра неврологом или планового УЗИ-исследования.
В некоторых случаях младенцу сразу требуется интенсивная терапия. Обычно наблюдаются клинические синдромы:
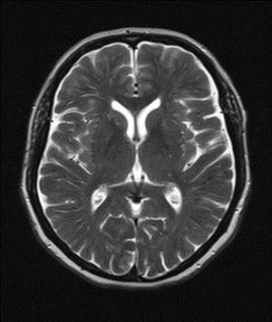
Признаки гипоксически-ишемической энцефалопатии у новорожденных выявляются в ходе инструментальной диагностики и визуального осмотра. Течение заболевания варьируется у разных пациентов.
Обычно патология сопровождается оживлением рефлексов, повышенной нервной возбудимостью (спонтанная моторная активность, оживление коленных рефлексов, тремор конечностей).
Параллельно выявляются признаки церебральной гипертензии:
Для пациентов характерны периоды остановки дыхания во время сна (эпизоды апноэ), апатия, вялость.
Пониженная концентрация гемоглобина, характерная для гипоксически-ишемического поражения головного мозга у новорожденных, усугубляет течение церебральной гипертензии.
Длительно текущий патологический процесс провоцирует развитие тканевого отека. Клиническая картина (по данным нейросонографии) включает:
Перивентрикулярное кровоизлияние в сочетании с ишемическим поражением подкорковых ядер выявляется с частотой около 16%. Перивентрикулярное кровоизлияние в сочетании с гидроцефалией и ишемией базальных ядер диагностируется с частотой 14%. Подобные нарушения свидетельствуют о функциональной недостаточности мозга и нарушении мозгового кровотока.
Гипоксическое состояние, спровоцированное отравлением фармацевтическими средствами, нейротропными ядами и другими токсическими веществами, у детей и взрослых сопровождается симптомами, обусловленными специфическим действием ядов и нарушением нервной регуляции на фоне повреждения нервных структур.
Основные признаки: расстройство сознания, протекающее по типу психоза, сбои в работе вегетативной системы, психомоторное возбуждение, судорожный синдром. Первичное нарушение сознания стремительно прогрессирует, трансформируясь в дефицитные формы (сопор, кома). Обычно при этом ослаблена или отсутствует реакция зрачка на свет.
Уровень сознания взрослых пациентов, перенесших гипоксию токсического генеза, оценивают по шкале Глазго, тяжесть нарушения интеллекта по шкале MMSE.
Состояние и функциональность нервной системы определяется при помощи неврологических тестов и методов инструментальной диагностики. Лабораторные анализы показывают повышенную концентрацию малонового диальдегида и молочной кислоты в сыворотке крови.
Для диагностики перинатальной гипоксически-ишемической энцефалопатии применяют инструментальные методы:
В ходе инструментальной диагностики выявляются внутрижелудочковые кровоизлияния, повреждение мозговой ткани ишемического генеза преимущественно перивентрикулярной локализации, отек мозга. Анализ крови показывает снижение уровня гемоглобина – анемию разной степени тяжести.
Лечение острого периода гипоксии у новорожденных предполагает проведение интенсивной терапии, которая включает аппаратную вентиляцию легких, применение препаратов антиоксидантного действия, корректоров тканевого метаболизма, антиконвульсантов. Параллельно проводится медикаментозная терапия, направленная на снижение проницаемости сосудистой стенки и устранение эффекта дегидратации.
Хирургическое лечение (перивентрикулярное шунтирование) показано при выраженном гидроцефальном синдроме в сочетании с перивентрикулярными кровоизлияниями. Восстановительное лечение младенцев проводится методом индуцированной гипотермии. Процедура представляет собой терапевтическое воздействие на показатели температуры тела новорожденного.
Основная цель – уменьшение риска развития ишемических процессов после перенесенного состояния кислородного голодания, связанного с эпизодом недостаточности кровообращения. Клинические исследования подтвердили уменьшение проявлений неврологической симптоматики после индуцированной гипотермии. Порядок проведения процедуры:
Один из передовых методов лечения, направленных на предотвращение ПЭП – внутривенное введение стволовых клеток (мононуклеарная фракция), полученных из пуповинной крови. Терапия способствует восстановлению клеток нервной ткани, стимулирует работу иммунной системы.
Лечение взрослых пациентов с диагнозом токсико-гипоксическая энцефалопатия на фоне отравления ядовитыми веществами проводится с учетом вида химического соединения, которое спровоцировало нарушения. Особое место занимает экстренная детоксикационная терапия, в том числе гемосорбция, гемофильтрация, плазмаферез, гемодиализ.
Из-за серьезных последствий для здоровья ребенка большое значение приобретает профилактика гипоксически-ишемических процессов в период внутриутробного развития и профилактика асфиксии во время родов. Прогноз при гипоксических состояниях зависит от степени тяжести повреждений мозговых структур и выраженности неврологических нарушений.
Диагноз ГИЭ в младенческом возрасте коррелирует с такими патологиями, как мозговая дисфункция, ДЦП, эпилепсия. У взрослых постгипоксическая энцефалопатия становится причиной развития неврологического дефицита, ухудшения когнитивных способностей, слабоумия.

Термин гипоксия происходит от греческого hypo- и латинского oxy [genium] (в переводе — кислород). Термин означает кислородное голодание. Все знают, что кислород в жизни клеточных организмов критически важен.
Особенно важен кислород для клеток головного мозга, на который замкнута нервная система.
Не случайно около 20% всей циркулирующей в организме человека крови доставляется к тканям головного мозга. Примерно 3.3 мл кислорода требуется для 100 г тканей каждую минуту.
Уменьшение этого объема называется гипоксия головного мозга.
Кислород доставляется клеткам головного мозга с помощью крови, которая забирает его в легочных тканях. Причин ухудшения доставки кислорода много. Но главное – последствия этого. Кислородная недостаточность несет с собой много проблем. До летального исхода включительно.
При легкой степени патологии после восстановления малыша выписывают домой. Но грудничок должен находиться под наблюдением невропатолога, также ему показана лечебная физкультура, курсы массажа, ежедневные прогулки.
Дети с тяжелой формой кислородного голодания сначала проходят продолжительное лечение в перинатальном центре. В последующем им нужны повторные курсы терапии с включением в них помимо лекарств, физиотерапевтических процедур, лечебной физкультуры.
Таким малышам дома нужно организовать спокойную обстановку, полезна ароматерапия и фитованны с успокаивающими травами.
Состояние грудничка быстро улучшается, если родители выполняют все рекомендации врача и правильно кормят кроху. Вместе с питанием младенец должен получать все необходимые для развития нервной системы витамины. Особенно нужны детям с гипоксией витамины из группы В, аскорбиновая кислота, витамин А, микроэлементы.
Снизить вероятность недостаточного поступления кислорода в плаценту будущие мамы могут и самостоятельно, для этого необходимо:
Снизить вероятность развития кислородного голодания у плода, находящегося в утробе матери, возможно. Для этого мама должна пересмотреть свой режим дня – следует стараться бывать на свежем воздухе часто, независимо от сезона
Важно помнить о том, что гулять в знойные летние дни в полдень не следует, лучше перенести прогулку в парковой зоне на вечер. Такие простые рекомендации помогут не только снизить риск гипоксии, но и поспособствуют улучшению состояния беременной женщины
Лекарственные препараты назначаются в индивидуальном порядке. Принимать какое-либо средство без назначения врача – не рекомендуется.
Женщина должна помнить о необходимости прохождения плановых осмотров. Опытный гинеколог сможет своевременно выявить какие-либо отклонения и подобрать оптимальную схему воздействия. В обязательном порядке проводится специальный тест плода, врач определяет сердцебиения ребенка как реакцию на шевеления. Если частота сердцебиений выше 12 – присутствует риск гипоксии.
При острой гипоксии на последних сроках проводится кесарево сечение. Дети, рожденные с гипоксией требуют реанимационных мероприятий. В последствии необходим дополнительный уход.
Лечение кислородного голодания мозга зависит от основного заболевания, ставшего причиной гипоксии.
При атеросклерозе сосудов назначают гиполипидемическую диету, препараты, снижающие уровень холестерина в крови.
Для лечения анемий назначают препараты железа (при необходимости применяют препараты фолиевой кислоты).
При артериальной гипертензии применяют препараты, нормализующие артериальное давление.
Для лечения тромбозов назначают антиагрегантную и антикоагулянтную терапию.
Справочно. Также для нормализации кровообращения в тканях головного мозга могут назначать препараты ноотропов, антиоксиданты, милдронат, витамины группы В, лечебную гимнастику, массаж воротниковой зоны.
Самый простой нелекарственный путь увеличения поступления кислорода — вентиляция легких. Аппараты ИВЛ применяют в крайних случаях. А вот гимнастика дыхательных путей вполне подойдет.
Наиболее популярными называют:
Обратите внимание на то, что дыхание по Стрельниковой имеет свои особенности, которые нужно понять. Хотя и бодифлекс требует правильного понимания в применении.
Справочно. Напомним о дыхательных тренажерах “самоздрав” и Фролова. Инструменты сильные. При желании могут помочь не только в решении проблем с гипоксией, но и при других болезнях.
Хроническая форма развивается реже, чем острая. Плод страдает от длительной нехватки кислорода по вине матери, безответственно относящейся к своему здоровью.
Порой при наличии проблем со здоровьем у матери правильная медикаментозная терапия позволяет улучшить кровообращение в плаценте и увеличить скорость обменных процессов в тканях.
Благодаря современным методам обследования, гипоксию можно выявить уже на раннем сроке беременности. От того, как скоро удастся определить причину недуга и назначить соответствующее лечение, будет зависеть здоровье младенца в будущем.
Первый триметр считается самым опасным периодом для крохи. Многие жизненно важные системы и органы могут формироваться неправильно. Малыш, страдающий от гипоксии, медленнее развивается и плохо набирает вес (подробнее в статье: что делать, если ребенок плохо набирает вес?). Испытывая нехватку кислорода, плод пытается восстановить необходимый уровень кровотока
Его сердце начинает биться чаще – это один из симптомов, на который нужно обратить внимание
Когда гипоксия протекает особенно тяжело, организм, стараясь поддерживать жизненно важные органы, ограничивает кровоснабжение кишечника. Анус расслабляется, околоплодные воды загрязняются меконием (первородным калом). В момент родов врачи оценивают цвет амниотической жидкости – в норме она должна быть прозрачной.
Добиться нужно эффекта при лечении гипоксии удастся лишь в том случае, если была правильно определена ее причина.
Женщине, вставшей на учет в женской консультации, предстоит пройти тщательную диагностику, включающую:
С помощью УЗИ специалисты контролируют состояние эмбриона, оценивают количество и консистенцию околоплодных вод. Ультразвуковое исследование позволяет разглядеть все органы плода. Благодаря этому методу врач понимает, грозит ребенку опасность или внутриутробная гипоксия отсутствует.
КГТ и прослушивание с помощью стетоскопа позволяют выявить нарушения сердечного ритма у ребенка в животе матери. Если частота сердечных сокращений превышает норму (160-170 ударов в минуту), это признаки гипоксии.
Если у плода диагностирована хроническая гипоксия, женщине могут порекомендовать прием витамина Е. Он способствует улучшению обменных процессов и повышает клеточную проницаемость. Если гипоксия не отступает, врачи принимают решение о проведении операции кесарево сечение на сроке беременности 7 месяцев.

Если малыш длительное время испытывал нехватку кислорода, находясь в утробе матери, или наблюдалась гипоксия при рождении, то в будущем у человека могут возникнуть серьезные проблемы со здоровьем. Пока плод находится в животе у мамы, он получает кислород из плаценты.
Однако иногда количество кислорода в крови беременной женщины в силу каких-либо причин снижается. Тогда ребенок испытывает кислородное голодание.
Если гипоксические изменения наблюдаются у плода в течение длительного времени и протекают в тяжелой форме, то развитие малыша замедляется.
К одним из наиболее распространенных патологий развития плода относится гипоксия головного мозга у новорожденных. Она выражается в недостатке кислорода, поступающего от матери к ребенку.
ИНТЕРЕСНО: что такое водянка головного мозга у новорожденного?
Существует несколько форм гипоксии. Испытывать нехватку кислорода ребенок может в период вынашивания беременности. Такое состояние определяется, как хроническая гипоксия. Острая форма является следствием тяжелых родов. От нехватки кислорода страдает головной мозг и другие жизненно важные органы: сердце, печень, легкие. Нередки случаи, когда ребенок получает инвалидность.
Существует немало разновидностей гипоксии. Чаще ее классифицируют относительно причин, приводящих к патологическому состоянию. Выделяют:
ЧИТАЕМ ТАКЖЕ: как поднять низкий гемоглобин у грудничка?
Нехватку кислорода плод испытывает, находясь в утробе матери, страдающей от:
Чаще всего гипоксия возникает у деток матерей юного возраста и женщин старше 35 лет. Нередко малыш испытывает нехватку кислорода из-за резус-конфликта. Иногда возникает приобретенная гипоксия, вызванная обвитием пуповины, тяжелыми родами, незрелостью дыхательной системы, многоплодной беременностью или в результате появления малыша на свет раньше или позже положенного срока.
Не всегда женщина знает, почему ее кроха начинает проявлять активность и становится беспокойным. Пинаясь и переворачиваясь, плод сигнализирует о том, что ему не хватает кислорода. После активных действий малыш затихает, толчки становятся слабыми, едва ощутимыми.
Понять, что происходит с ребенком, женщине поможет тест на шевеления. Если плод в течение часа совершил менее 3 активных толчков – это серьезный повод для обращения к гинекологу.
Если после визита к врачу остаются сомнения, проводят дополнительные исследования:
Из-за внутриутробной гипоксии головной мозг недополучает кислород. Часто развивается энцефалопатия, иногда ребенка не удается спасти (см. также: причины развития энцефалопатии у детей). У грудничка, перенесшего во время беременности и родов гипоксию, последствия нехватки кислорода могут проявиться в течение нескольких месяцев.
Тяжелая кислородная недостаточность не проходит незамеченной. Изменения в работе головного мозга способны приводить к серьезным патологиям нервной системы, включая ДЦП.
Чтобы избежать негативных последствий кислородного голодания у ребенка, беременной женщине необходимо встать на учет в женской консультации. Нужно регулярно посещать своего лечащего врача и выполнять все его рекомендации.
Будущей маме необходимо вести здоровый образ жизни. Нужно отказаться от вредных привычек, чаще выходить на улицу, следить за питанием и спать не меньше 8 часов в сутки. В этот период лучше ограничить употребление кофе и постараться избегать стрессовых ситуаций.
Гипоксия может привести к фатальным последствиям. Кислородное голодание накладывает отпечаток на развитие головного мозга. Помимо этого, происходят нарушения в работе органов и систем ребенка:
Такая форма кислородного голодания возникает у детей в момент рождения. Как правило, мать никак не может предотвратить развитие острой гипоксии.
Иногда ребенок начинает задыхаться по вине неквалифицированного медицинского персонала.
Беременная женщина, готовясь к родам, должна заранее выбрать роддом, в котором родовой процесс будет проходить под наблюдением высококвалифицированных специалистов.
Порой острая гипоксия возникает на фоне применения родостимулирующих препаратов. Стимуляция схваток способствует заглатыванию малышом амниотической жидкости. Быстрые роды не позволяют подготовиться к появлению на свет ни ребенку, ни организму матери. Агрессивное родовспоможение нередко приводит к травмам.
Выделяют несколько основных причин острого кислородного голодания новорожденных:
Лечить последствия гипоксии у новорожденного нужно незамедлительно. При рождении малыш может заглотить околоплодные воды. Чтобы освободить дыхательные пути ребенка, медперсонал должен при помощи специального оборудования удалить остатки слизи и жидкости из носа и рта. Пока новорожденный не восстановил дыхание, ему надевают кислородную маску.
После рождения состояние малыша оценивают по шкале Апгар. Если оценка низкая, значит, кислородное голодание привело к тяжелым последствиям. Из-за недостатка кислорода клетки мозга начинают гибнуть.ЧИТАЕМ ПОДРОБНО: шкала Апгар для оценки состояния новорожденных в таблице
Довольно часто постгипоксические изменения приводят к отставанию в развитии. Дети плохо набирают вес, позже начинают говорить, у них наблюдаются неврологические расстройства. Нередко гипоксия у новорожденных приводит к психическим заболеваниям.
Главное, что должна делать будущая мама для здоровья своего малыша, – это следить за здоровьем. Для этого ей необходимо регулярно посещать гинеколога, а также чаще гулять и больше двигаться, вдыхая свежий воздух и насыщая кровь кислородом.
Необходимо вовремя проходить все назначенные врачом процедуры и сдавать анализы. Так можно выявить проблему на ранней стадии и вовремя начать лечение. К началу родовой деятельности роженица должна знать, в какой роддом необходимо отправиться.

Гипоксически-ишемическое поражение центральной нервной системы перинатального генеза – это очень частый диагноз, с которым обращаются родители со своими детьми. 75-85% заболеваний нервной системы у детей своими истоками уходят в ранние сроки внутриутробного развития или проблемы в родах.
Внутриматочная гипоксия и гипоксия в родах обуславливают нарушения маточно-плацентарного кровообращения, что может сопровождаться недостатком кислорода у плода. Гипоксические нарушения у детей часто связаны с функциональным дисбалансом, ограничением кровотока и движения ликвора.
Остеопатия нормализует движения в теле и способствует питанию мозга, исправлению негативных послествий перенесенной гипоксии.
Гипоксия и асфиксия, происходящие в родах и в период новорожденности, не проходят бесследно и могут оказать негативное воздействие на развивающийся мозг. Исходом может стать значительная потеря нейронов, дистрофические изменения нервных клеток в коре головного мозга и в подкорковых структурах и желудочках головного мозга.
В клинической картине могут быть такие симптомы:
При дефиците кислорода нарушается ауторегуляция мозгового кровообращения, изменяется проницаемость нейронов, нарушается обмен веществ в нервных клетках, скапливаются вредные аминокислоты и свободные радикалы.
В результате токсических действий этих веществ наступает гибель нейронов, возникает запрограммированная смерть нервных клеток. С учетом прогрессирования деформации нейронов, клинические симптомы могут проявиться позже, через несколько лет.
Это говорит о том, что дети после перенесенной гипоксии должны наблюдаться неврологом и остеопатом.
Дети с диагнозом перинатальное постгипоксическое поражение ЦНС наблюдаются неврологом в течение 2 лет. По истечении этого срока диагноз снимается, либо меняется на более сложный (ДЦП, гидроцефалия и тд).
Периодичность проведения исследований у детей, перенесших гипоксию, 1 раз в 3 месяца до года и 1 раз в 6 мес. на втором году жизни.
Оценка по шкале Апгар не единственный критерий перенесенной гипоксии. Например, у плода, в ответ на недостаток кислорода, открывается сфинктер прямой кишки и меконий выходит в околоплодные воды, из-за чего они становятся зелеными.
О кислородном голодании может свидетельствовать также состояние плаценты (преждевременное старение, аномалия развития сосудов, и т.д.). Иногда такие дети рождаются с высокой оценкой по шкале Апгар, но гипоксия все-таки имела место.
Мозг детей в первые 2 года жизни очень пластичный и с удовольствием принимает все методы лечения, быстро откликается и выдаёт прекрасные результаты. В последнее время остеопатическое лечение занимает заслуженное место в программе лечения детей, перенесших гипоксию.
Ранее мы рассматривали причины и диагностику постгипоксических состояний и договорились о том, что дети, родившиеся с оценкой 7 баллов по Апгар и ниже, рассматриваются как перенесшие гипоксию. К этой группе также относятся дети, имевшие обвитие пуповиной, недоношенные дети и т.д.
Крайне важно регулярно проводить осмотры таких детей в динамике в определенные возрастные периоды: 1 мес., 3 мес., 6 мес., 9 мес., 1 год. Целью осмотра и наблюдения является профилактика и уменьшение хронических заболеваний и снижение степени отдаленных последствий. Около 83% детей, перенесших гипоксию, имеют поражения ЦНС в различных проявлениях и сочетаниях.
Выражается гипертнусом икроножных мышц, тугоподвижностью в голеностопных суставах, хождением на цыпочках, задержкой темпов речевого развития, а также двигательного.
При наличии данных симптомов не стоит дожидаться планового осмотра, лучше сразу обратиться к неврологу и остеопату для ранней диагностики и лечения.
Постгипоксическое поражение ЦНС требует этапного лечения после проведения реанимационных мероприятий (если они были необходимы) начинается восстановительный период, применяется:
Остеопатическое лечение по праву занимает одно из ведущих мест в реабилитации детей, перенесших гипоксию. Балансировка костей черепа позволяет снять напряжение с твердой мозговой оболочки и с полушарий головного мозга, тем самым обеспечивая максимально полноценное функционирование ЦНС.
Остеопатические методики позволяют осуществить дренаж венозных синусов, в результате чего налаживается резорбция ликвора и нормализуется внутричерепное давление. Освобождение шейного отдела позвоночника, устранение кривошеи способствует адекватному кровоснабжению головного мозга.
Раннее проведение остеопатического лечения на первом году жизни позволяет детям не только не отставать в развитии от своих сверстников, но иногда даже развиваться с опережением.
Очень важно проводить это лечение с первых месяцев жизни, так как это поможет избавиться от отдаленных клинических патологических симптомов. Сеансы остеопатии детям проводятся начиная с первого месяца жизни.
Остеопатическое лечение, создавая оптимальное функционирование ЦНС останавливает процесс постгипоксических изменений в нейронах, тем самым как-бы перепрограммирует мозг на полноценное развитие.
Не нужно бояться гипоксии, нужно предпринять весь комплекс мер для реабилитации после неё. Тем более, что современная медицина даёт нам множество инструментов для этого.
Наша клиника остеопатии и неврологии на Васильевском острове «Неонатус Санус » – здоровье с рождения, имеет большой практический опыт профилактики и лечении новорожденных детей, младенцев и детей грудничкового возраста.
Мы умеем и любим работать с маленькими детьми!
В нашей клинике работают опытные врачи-остеопаты, неврологи. Каждому малышу уделяется много внимания, чтобы понять ребенка, точно оценить его состояние, дать рекомендации родителям и при необходимости провести эффективное остеопатическое лечение.
В нашем центре вы можете получить лучшее обследование, лечение и рекомендации от ведущих специалистов Санкт-Петербурга.
| Программа ведения детей первого года жизни (Подробнее) | 25000 руб. |
| Лечение детей до 18 лет | 4500 руб. |
| Лечение детей до 18 лет главным врачом | 6000 руб. |
| Консультация врача остеопата | 2500 руб. |
| Консультация главного врача | 4000 руб. |
Отзыв наших пациентов о лечении гипоксии
Катюша родилась от первой беременности на сроке 40 недель. Состояние после рождения было тяжелым за счёт асфиксии. Оценка по шкале Апгар 1/4 балла. Через 3 часа в связи с дыхательной недостаточностью и судорогами была переведена на реанимационное отделение. Проводилась искусственная вентиляция легких, гипотермия мозга.
Результатом тяжелой гипоксии мозга явился диагноз: Детский Церебральный Паралич, правосторонний спастический гемипарез. В возрасте 1 года 6 месяцев она впервые появилась в нашем центре. Основной жалобой была задержка двигательного развития, ходьба самостоятельная появилась только в 1год и 4 месяца.
При ходьбе испытывала большие проблемы в связи с высоким гипертонусом мышц по всей правой стороне, отмечалось косоглазие и беспокойное поведение.
После проведённого лечения у девочки практически нормализовался мышечный тонус, походка максимально приблизилась к физиологической, у девочки прекрасное речевое развитие, она с удовольствием ходит в детский сад и общается со сверстниками.
Благодарим родителей за предоставленный видеоматериал.
Атрофия головного мозга – это процесс омертвения его клеток, а также разрушение соединений, связывающих нейроны. Данная патология может охватывать корковую и подкорковую зоны, приводя к полному разрушению личности человека и делая невозможной его последующую реабилитацию.
Их существует несколько, в зависимости от локализации и других особенностей.
Начальные стадии нижеописанных патологий сопровождаются атрофией лобных долей и рядом специфических признаков.
Для нее характерно нарушение целостности нейронов в височной и лобной областях головного мозга. Это создает узнаваемую клиническую картину, которая фиксируется инструментальными методами и позволяет поставить диагноз максимально точно.
Первые негативные изменения при болезни Пика – снижение интеллекта и ухудшение способности к запоминанию. Дальнейшее развитие недуга приводит к личностной деградации (характер становится угловатым, скрытным, отчужденным).
В движениях и словесных выражениях наблюдается вычурность, односложность, постоянное повторение шаблонов.
Для сенильной деменции альцгеймеровского типа в меньшей степени характерно появление личностных нарушений, хотя память и мышление страдают так же сильно, как при болезни Пика.
В случае с обоими патологиями очаг поражения постепенно разрастается, охватывая весь мозг полностью.

Возможно, что очаг дистрофического поражения будет локализован в области мозжечка. При этом проводящие пути остаются нетронутыми. Наиболее явным симптомом становится измененный мышечный тонус и невозможность удержать равновесие и координировать положение тела.
Мозжечковая атрофия приводит к утрате способности заботиться о себе. Движения теряют плавность, а их завершение сопровождается интенционным (возникающим при совершении целенаправленных действий) дрожанием.
Речь становится медленной и скандированной, почерк – отрывистым. Дальнейшее атрофирование сопровождается более сильными и частыми приступами головной боли и головокружения, тошноты и рвоты, сонливости и глухоты.
Заметно поднимается внутричерепное давление, часто выявляется паралич одного из черепно-мозговых нервов, который может привести к обездвиживанию глазных мышц, нистагмам (непроизвольным ритмичным колебаниям зрачков), энурезу, исчезновению естественных рефлексов.

Данный вид заболевания может быть следствием как возрастных, так и иных разрушительных изменений. Если его причина – физиологическая деструкция, медикаментозная терапия почти не дает положительных результатов и может лишь немного замедлить патологический процесс.
В остальных случаях приостановить разрушение мозговых нейронов можно устранением внешнего фактора или болезни, которая привела к атрофии.
Повреждение вещества в колене головного мозга приводит к развитию гемиплегии (мышечного паралича на одной стороне тела). Аналогичный эффект дает нарушение структуры передней части задней ножки (задняя область этого отдела отвечает за сохранение чувствительности).
Больной не может совершать целенаправленные действия и перестает узнавать объекты. При отсутствии лечения возникают речевые расстройства, нарушается функция глотания, выявляется пирамидальная клиника (патологические рефлексы орального автоматизма, кистевые, стопные и т.д.)

При поражающем кору процессе страдают преимущественно фронтальные доли, хотя некроз тканей любой другой мозговой области также не исключен. Явные признаки патологического состояния выявляются лишь через несколько лет после начала его развития.
С данным видом недуга обычно сталкиваются люди, уже достигшие 60-летнего возраста. Отсутствие терапевтической помощи провоцирует у них возникновение старческого слабоумия (наблюдается при поражении сразу двух полушарий).
К развитию биполушарной кортикальной атрофии чаще всего приводит болезнь Альцгеймера. Однако при незначительных деструкциях можно рассчитывать на относительную сохранность умственных способностей человека.
Кортикальная атрофия часто наблюдается при дисциркуляторной энцефалопатии (медленно прогрессирующем нарушении мозгового кровообращения различной этиологии).
Деструкция кортикального вещества может возникать не только в старческом, но и в молодом возрасте при наличии соответствующей генетической предрасположенности.
Синдром Шая-Дрейджера (мультисистемная атрофия) приводит к утрате способности контролировать вегетативные функции организма (уровень АД, процесс мочеиспускания). В числе других признаков патологии можно отметить:
Для мужчин мультисистемные атрофические изменения могут быть чреваты возникновением эректильной дисфункции. Дальнейшее развитие патологии влечет за собой появление трех новых групп симптомов:
Также отмечается чувство сухости во рту, проблемы с потоотделением, двоение в глазах, одышка и храп.

Часто возникает под действием инфекционных заболеваний, токсинов, травм, патологий внутренних органов, негативных внешних влияний. Диффузно–атрофические изменения снижают мозговую активность, лишают человека контроля над своим поведением, делая его мышление неспособным к критике.
Симптомы зависят от локализации очага поражения, но изначально напоминают те, что возникают при повреждении корковых структур мозжечка.
Она сопровождается речевыми патологиями (вплоть до того, что больной начинает изъясняться отдельными словами), совмещенными с афазией моторного типа. При преимущественном повреждении височных областей теряется способность мыслить логически, преобладают депрессивные настроения.
Изменяется зрительное восприятие: человек перестает видеть всю картинку целиком, различает лишь отдельные предметы. Это также лишает его способности читать, писать, считать, ориентироваться в датах и анализировать информацию (в том числе обращенную к нему речь, что вызывает неадекватные поведенческие реакции).
Все это приводит к проблемам с памятью. Кроме того, возможно появление двигательных нарушений по правой стороне тела.

В данном случае поражается кора головного мозга и субкортикальные области (подкорка). Чаще всего этот вид патологии выявляют у пожилых женщин старше 55 лет, хотя он может встречаться даже у новорожденных малышей.
Основное последствие и главный симптом смешанной атрофии – прогрессирующее слабоумие, что неизбежно сказывается на качестве жизни. Если болезнь была приобретена в детском возрасте, то вероятнее всего, что она является генетически обусловленной либо возникла под действием радиации.
Патологическое состояние сопровождается почти всей симптоматикой атрофии, а на заключительных этапах его развития личность полностью деградирует.
Является следствием гипоксии (недостаточного количества кислорода) и дефицита поступающих к нейронам питательных веществ. Это приводит к повышению плотности ядра и цитоплазмы клеток, что влечет за собой уменьшение их объема и вызывает развитие деструктивных процессов.
Структура нейронов может не только атрофироваться, но и полностью разрушаться, а, значит, клетки будут просто исчезать, приводя к уменьшению веса головного мозга в целом.
Также могут возникать проблемы с чувствительностью отдельных областей тела. Паренхимальная атрофия смертельна, чтобы человек мог прожить как можно дольше, ему обязательно назначают симптоматическую медикаментозную терапию.

Этот орган больше других чувствителен к воздействию спиртного, которое способно влиять на проходящие в нейронах метаболические процессы, вызывая у человека зависимость.
Алкогольной атрофии всегда предшествует одноименная энцефалопатия. Разрушающее действие спиртосодержащей продукции распространяется на:
Вскоре после появления болезни (при отсутствии медикаментозного лечения и изменений в образе жизни) атрофия может завершиться летальным исходом.
Отдельно выделяется синдром Макияфавы-Биньями, возникающий, если алкоголь употребляется часто и в больших количествах. Это приводит к отекам мозолистого тела, исчезновению миелиновых оболочек и последующему омертвению нервных клеток в данной области.
Вероятность обнаружения патологии у ребенка невелика (значительно меньше, чем у взрослых), но все же она существует. Однако диагностировать наличие деструктивных процессов в этот период сложно, поскольку симптомы либо совершенно отсутствуют, либо проявляются частично и не вызывают у родителей сильного беспокойства.
В этом случае врачи говорят о пограничных или субатрофических изменениях. Недуг, прогрессирующий скрыто, делает ребенка конфликтным, раздражительным, замкнутым и нервным. После того как станут очевидны нарушения психики, может выявиться когнитивная и физическая беспомощность.
Для младенцев опасность болезни наиболее реальна при наличии гидроцефалии (водянки мозга). Выявить ее еще в ходе беременности можно при помощи УЗИ.
Также причинами атрофии у малышей могут являться:
После рождения такого младенца помещают в отделение реанимации, где он находится под постоянным наблюдением реаниматолога и невропатолога. Из-за отсутствия надежного способа лечения ход дальнейшего развития ребенка и вероятность появления осложнений трудно предугадать.

В соответствии с тем, насколько активно и тяжело протекает процесс, а также с учетом общей клинической картины выделяют два уровня развития патологии.
Первая степень подразумевает минимальные нарушения функций головного мозга. Для нее характерно наличие очаговых симптомов, то есть признаков, появление которых зависит от области поражения.
Начальные этапы развития патологии могут проходить совершенно бессимптомно. При этом больные часто волнуются по поводу других заболеваний, которые могут прямо или косвенно воздействовать на мозг.
Если в самом начале данной фазы обратиться к врачу и получить необходимую медицинскую помощь, то развитие патологии ощутимо замедлится. Однако с течением времени медикаментозную терапию потребуется изменить (увеличить дозу, воспользоваться другими препаратами).
При второй степени появляются явные признаки заболевания, свидетельствующие о разрушении структур головного мозга. При отсутствии лечения клиническая картина заметно ухудшается, что приводит к когнитивным нарушениям, снижению аналитических способностей, выработке новых привычек и появлению другой типичной симптоматики.
Постепенно практически все действия, связанные с мелкой моторикой (движениями пальцев рук) становятся недоступны для больного. Снижается и общая моторная функция: замедляется походка и, в целом, двигательная активность. Это усугубляется плохой координацией в пространстве.
Возникают проблемы с самообслуживанием: человек забывает, как пользоваться пультом, не может расчесать волосы или почистить зубы. Появляется привычка копировать действия и жесты окружающих, поскольку исчезает способность к самостоятельному мышлению.

Заболевание может быть спровоцировано:
В 95% случаев решающее значение имеет только наличие генетической предрасположенности, а все остальные факторы лишь поддерживают дальнейшее развитие процесса.
С возрастом клетки головного мозга (как и других органов тела) восстанавливаются все хуже, укоряется их деструкция. В результате симптоматика атрофии становится более выраженной.
На начальных этапах заболевания у человека отмечается:
Больной должен всегда быть под контролем, чтобы не навредить себе или другим людям.

При обследовании головного мозга для скорейшего выявления атрофических очагов используется МРТ (магнитно-резонансная томография). Также могут применяться следующие методы диагностики:
Полученные результаты невропатолог использует для постановки точного диагноза и определения курса последующего лечения.
Если заболевание имеет генетическое происхождение, то избавиться от него невозможно. Врачи могут лишь поддерживать работу систем и органов тела человека на протяжении некоторого отрезка времени. Этого будет достаточно, чтобы пациент мог вести нормальный образ жизни.
Атрофии, вызванные возрастными изменениями, требуют обязательного медикаментозного лечения, которое поможет справиться с основными симптомами. Кроме того, пациенту нужен уход и минимум стрессовых или конфликтных ситуаций.
Часто врачи назначают прием антидепрессантов и транквилизаторов. Лучше всего, если пациент ежедневно будет находиться в обычных для него условиях и заниматься привычными делами. Поддержанию его здоровья также может способствовать дневной сон.
Бороться с деструктивными процессами трудно. В большинстве случаев современная медицина предлагает только лекарства, стимулирующие мозговое кровообращение и метаболизм, но они не помогут полностью вылечиться. Можно лишь немного отсрочить неизбежное ухудшение состояния. Такой же эффект дают некоторые народные средства.
Сегодня специалисты пробуют лечить атрофию стволовыми клетками, которые извлекаются из костного мозга. Этот метод считается достаточно перспективным, он применяется также при проблемах со зрительным нервом, отслоении сетчатки и других патологиях.
По свидетельствам некоторых пациентов, стволовые клетки способны даже избавить человека от инвалидности. Однако научного подтверждения этому пока нет.
Профилактика атрофии головного мозга позволит максимально увеличить продолжительность жизни, отдалив начало патологического процесса. Существует несколько способов, позволяющих добиться этого:
Кроме того, нужно контролировать уровень АД, заниматься укреплением иммунитета и избегать стрессовых ситуаций.

Независимо от лечения и причины патологии, трудно говорить о благоприятности прогноза. Атрофия может поразить любую область мозга и привести к необратимым нарушениям двигательной, зрительной и других функций.
Хотя на начальных стадиях болезнь носит локальный характер, позже становится генерализованной (атрофируется практически весь орган). За 20 лет патология развивается настолько, что человек приобретает полное слабоумие.
Отмирание клеток головного мозга – это проблема, которую трудно решить полностью, поскольку данный процесс отчасти является вполне естественным и неизбежным. Однако есть большая разница между атрофией мозга в 70 и в 40 лет. Во втором случае можно судить о несвоевременном начале разрушения корковых и подкорковых клеток, что требует обязательного обращения к специалистам и прохождения поддерживающего терапевтического курса.
Атрофия головного мозга — процесс поэтапной гибели клеток мозга , разрушения соединений нейронов и нервных клеток. При этом могут происходить нарушения в коре или в подкорке человеческого мозга.
Зачастую атрофия коры головного мозга возникает в старости, причем в большинстве своем такой диагноз устанавливают слабому полу.
Нарушение может появиться в пятьдесят - пятьдесят пять лет, а завершиться слабоумием.
Это связано с тем, что при старении объем и вес мозга становится меньше.
Но в отдельных случаях наблюдается такой процесс, как атрофия мозга у новорожденных. Причин этой болезни достаточно много, однако в любом случае она является крайне серьезной и небезопасной.
Следует заметить, что данное отклонение характерно для лобных долей, которые контролируют исполнительные функции. К этим функциям относят контроль, планирование, торможение поведения, мыслей.
Одной из главных причин атрофии головного мозга является наследственная предрасположенность к этому заболеванию. Но нарушение может появляться и по иным причинам:
Однако имеется и перечень условий, благоприятствующих подобному нарушению:
Рассмотрим какие виды атрофии мозга бывают:

Развитие отклонения происходит по такой схеме:
Зависимо от пострадавших участков лобной доли могут еще на первых порах появляться нарушения речи, вялость, равнодушие или эйфория, сексуальная гиперактивность, отдельные виды маний.
Последний момент часто делает больного опасным для общества, что является показанием для его помещения в психиатрическую больницу.
При нарушении кровоснабжения мозга одним из диагностических признаков может быть и отмирание височной мышцы, наблюдающееся у некоторых больных.
Имеющиеся симптомы поражения могут иметь существенные отличия, зависящие от того, какие части органа разрушены. При атрофии коры наблюдаются:
Их особенность зависит от предназначения нарушенной части:
Существенное поражение подкорковых структур зачастую вызывает утрату больным способности к самостоятельному поддержанию жизнедеятельности, госпитализацию и смерть в перспективе.
Такая степень атрофии возникает очень редко, чаще после тяжелых травм или отравляющего поражения ткани мозга и крупных кровяных сосудов.
При лечении атрофии головного мозга человеку важно обеспечить хороший уход, а также повышенное внимание со стороны родных. Чтобы облегчить симптомы атрофии коры головного мозга, назначается лишь лечение проявлений.
При обнаружении первых же признаков процессов атрофии нужно создать больному спокойную обстановку.
Он не должен менять стандартный образ жизни. Лучшим является выполнение обычных домашних дел, поддержка и забота со стороны близких.
Крайне вредно содержать больного в медучреждении, потому что это лишь ухудшит его состояние и ускорит нарастание болезни.
К иным способам лечения относят:
Эти средства помогают человеку сохранять спокойное состояние. Больному непременно нужно создать все условия для активного движения, он должен регулярно заниматься простыми ежедневными делами.
Кроме прочего, не следует, чтобы человек, имеющий такое нарушение, спал днем.
Действенных способов предупреждения этого заболевания сегодня нет. Можно посоветовать лишь, вовремя лечить все имеющиеся нарушения, вести активную жизнь и иметь положительный настрой.
Жизнелюбивые люди зачастую живут до глубокой старости, и у них не выявляют проявлений каких-либо признаков атрофии.
При этом следует понимать, что с годами могут возникать не только нарушения мозга – изменениям подвержены иные органы. Эти состояния организма имеют отношение к развитию атеросклероза сосудов, потому что в результате этой болезни происходит их сужение.
Существуют люди, у которых развитие атеросклероза происходит существенно быстрее, что и является причиной раннего износа организма. Именно у них наблюдаются яркие процессы атрофии.
Способы предупреждения атеросклероза:

Атрофия головного мозга – болезнь, которая не лечится современными лекарственными средствами. Развивается это нарушение не сразу, но в итоге заканчивается слабоумием.
Чтобы упредить отрицательные последствия, необходимо придерживаться профилактически мер . Кроме прочего, при наличии любых проблем очень важно вовремя обращаться к доктору – это поможет сберечь крепкое здоровье на много лет.
Строение и функции головного мозга. Как реагирует мозг на внешние раздражители и что нужно знать о возможных повреждениях мозга.
Кортикальная атрофия — это процесс деструктивных изменений, который наблюдается в коре головного мозга. Он может быть связан либо с изменениями, которые происходят в пожилом возрасте или патологическими процессами организма. Чаще всего такое отклонение наблюдается в лобных долях, которые отвечают за мыслительные процессы, осуществляют контроль за поведением человека, планирование, но иногда процесс затрагивает и другие части коры.
Это состояние характеризуется медленным прогрессированием, возникает, как правило, в возрасте около 50 лет, чаще проявляется у женщин, и постепенно приводит к развитию старческого слабоумия. Иногда регистрируются случаи появления такой патологии у новорожденных, это бывает связано с отягощенной наследственностью.
Самая известная болезнь, сопровождающаяся деструктивными нарушениями коры мозга — это биполушарная кортикальная атрофия, или болезнь Альцгеймера. Следует отметить, что к выраженному слабоумию приводит только обширный процесс, очаговая деструкция обычно не оказывает особого влияния на умственные способности пациента.
Кортикальной атрофией считается исключительно то заболевание, которое возникает в результате изменений нормальных клеток с обычной физиологической функцией, если центральная система не получила своего развития во время внутриутробного процесса формирования, то такое отклонение не считается атрофией.
Нарушение питания и хроническая ишемия, возникающая в коре головного мозга, может взывать атрофические изменения. Происходит этот процесс по ряду причин, среди которых:
Опытным путем специалистами было установлено, что при изначально высоком интеллектуальном уровне люди, которые до глубокой старости занимаются деятельностью, связанной с умственной работой, менее подвержены заболеванию, связанному с атрофией корковой зоны мозга.
Любые причины развития кортикальной атрофии являются только в 5% случаев приобретенными. Чаще всего они только выступают в качестве провоцирующих или усугубляющих течение заболевания факторов на фоне предрасположенности, обусловленной генетически.
Признаки кортикальной атрофии зависят от степени и глубины поражения коры мозга. При умеренно выраженных изменениях могут проявляться следующие симптомы:
Зачастую такой больной становится опасным для окружающих людей, поэтому его помещают психиатрическую лечебницу.
К разновидности атрофических заболеваний тканей головного мозга относится болезнь Пика, при этом заболевании происходит выраженное истончение коры. Следует дифференцировать такой недуг с болезнью Альцгеймера, поскольку она на ранних стадиях обнаружения может быть излечима. 
При болезни Пика расстройства поведения заключаются в повышенной отвлекаемости и неумении сосредоточиться. Пациент может в разговоре несколько раз повторять одну и ту же фразу. Для нее также очень характерно усиленное влечение — появляется обжорство, гиперсексуальность. Это часто происходит на фоне неадекватно веселого настроения и со стороны такой человек представляется морально распущенным. Прогрессирование заболевания происходит не слишком быстро, но неуклонно.
Возникновение типичных клинических признаков кортикальной атрофии требует проведения дополнительных исследований. Диагноз подтверждается после оценки результатов КТ или МРТ.
При наличии выраженных возрастных изменений, лечение такого заболевания, как кортикальная церебральная атрофия заключается в принятии мер по предотвращению дальнейшего прогрессирования. В более молодом возрасте есть вероятность достичь улучшения состояния и определенной регрессии при условии возможности устранения причины.
Для улучшения питания клеток головного мозга применяются ноотропы. Это — пирацетам, церебролизин, ноотропил. Они помогают обеспечить улучшение процессов мышления.
С целью повышения интенсивности регенерационных процессов и предотвращения дальнейшего прогрессирования заболевания используются антиоксиданты.
Улучшение микроциркуляции крови и усиление обмена достигается за счет пентоксифиллина или трентала.
Все остальные средства назначают, исходя из симптоматики заболевания. При головных болях можно принимать нестероидные противовоспалительные препараты или анальгетики, нарушения сна и повышенная нервная возбудимость требует приема седативных лекарственных средств.
Умеренно выраженная кортикальная атрофия не требует госпитализации такого больного. Для улучшения состояния человеку не следует менять привычную обстановку, это может ускорить прогрессирование заболевания и привести к гибели. Важным моментов при лечении является сохранение спокойствия пациента за счет приема успокоительных препаратов, среди них могут быть легкие антидепрессанты или транквилизаторы.
Следует отметить, что дневной сон и излишнее свободное время при таком виде заболевания крайне нежелательны. Больного лучше окружить вниманием и занимать домашними делами, заставлять его максимально находится в движении. Необходимы прогулки на свежем воздухе и умеренные физические нагрузки.
Шошина Вера Николаевна
Терапевт, образование: Северный медицинский университет. Стаж работы 10 лет.
Атрофия головного мозга приводит к гибели всех структур органа. При этом нарушаются все функции, и человек становится неспособным сам о себе заботиться. Патология обычно поражает пожилых людей, но встречается и у новорожденных. Восстановить функции органа лечением невозможно. Терапия позволит лишь облегчить течение атрофических изменений.
Атрофия мозга не является отдельной патологией. Это процесс, при котором постепенно развивается некроз нервных клеток, сглаживаются извилины, и орган уменьшается. В результате этого нарушаются все важные функции органа, особенно сильно страдает интеллект.
С годами в головном мозге каждого человека начинаются атрофические изменения. Но они не имеют тяжелых симптомов и протекают практически незаметно. Стареть орган начинает, когда человеку исполняется 50 лет. При этом в течение нескольких десятков лет его масса уменьшается. Это приводит к тому, что человек становится ворчливым, раздражительным, плаксивым, нетерпеливым, ухудшается интеллект.
Но, если атрофические изменения возникают в результате возрастных процессов в организме, то неврологические и психологические нарушения не развиваются, и слабоумием человек страдать не будет.
Если подобные признаки возникают у ребенка или молодого человека, то необходимо пройти обследование и определить основную причину атрофических изменений в головном мозге. Таких патологий достаточно много.
Атрофия мозга проявляется в зависимости от того, в каком участке мозга начались патологические изменения. Постепенно патологический процесс заканчивается слабоумием.
Основные проявления атрофии головного мозга заметить можно сразу. У человека развиваются психические отклонения, меняется поведение, наблюдается снижение памяти и интеллекта.
В начале развития атрофия поражает кору головного мозга. Это приводит к отклонениям в поведении, неадекватным и немотивированным поступкам, снижению самокритики. Больной становится неряшливым, эмоционально неустойчивым, могут развиваться депрессивные состояния. Нарушаются способности запоминать и интеллект, что проявляется уже на ранних стадиях.
Постепенно симптоматика нарастает. Больной не только не может работать, но и самостоятельно себя обслуживать. Возникают значительные трудности с употреблением пищи и посещением туалета. Человек не может выполнить эти задачи без помощи других людей.

Пациент перестает жаловаться на то, что его интеллект ухудшился, так как не в состоянии оценить его. Если жалобы на эту проблему полностью отсутствуют, значит, поражение мозга перешло в последнюю стадию. Происходит потеря ориентации в пространстве, появляются амнезии, человек не может сказать, как его зовут, и где он живет.
На последней стадии больной полностью деградирует, развивается маразматичное состояние, человек не может даже самостоятельно поесть, попить, невнятно разговаривает.
Если болезнь наследственная, то работа головного мозга ухудшается достаточно быстро. Для этого нужно несколько лет. Поражение вследствие сосудистых нарушений может прогрессировать в течение нескольких десятков лет.
Патологический процесс развивается так:
На последней стадии полностью утрачивается трудоспособность, связь с внешним миром. У человека развивается стойкое слабоумие, и он не может выполнять самые простые действия. Поэтому за ним должны постоянно следить близкие.

Отмирание клеток головного мозга развивается в результате:
Факторов, провоцирующих развитие патологического процесса, довольно много.

Наиболее распространенными являются:
Процесс отмирания нервных клеток происходит всегда. Разница лишь в скорости. Происходит отмирание при:
Атрофические изменения в тканях мозга развиваются в связи с возрастными изменениями в организме. Это обычно происходит в возрасте от 50 лет. Но под влиянием врожденных заболеваний патологический процесс может начаться и раньше. У пожилых людей происходит значительное ухудшение функций мозга и уменьшение размера органа.

Атрофия головного мозга и у новорожденных встречается. Это происходит, если:
Патология развивается в результате употребления во время беременности наркотических веществ, спиртного, медикаментов, влияния на организм радиации, инфекционных заболеваний, тяжелых родов и родовых травм.
Если своевременно выявить проблему и провести правильное лечение, то орган может восстановить свои функции.
Для того чтобы определить патологические изменения, проводят:
После оценки результатов исследований назначают лечение.
Терапия проводится для облегчения симптоматики и замедления развития патологического процесса. Такого эффекта добиваются с помощью:
Важную роль в процессе лечения занимает забота близких людей. Поэтому больных не содержат в стационаре, так как это только усугубит положение.

Для улучшения функций головного мозга нужно соблюдать рекомендации врачей относительно питания: есть больше продуктов с полиненасыщенными жирными кислотами. Необходимо также отказаться от мучных изделий, жареных и жирных блюд.
Атрофические изменения в мозге приводят к полному нарушению его функций и утрате человеком способности выполнять самые простые действия. Если не будет проводиться лечение, то очень быстро наступит смерть.
Специфических методик, которые позволят предотвратить атрофию, нет. Снизить риск развития проблемы можно, если избегать вредных привычек, правильно питаться, вести активный образ жизни, много гулять на свежем воздухе и вовремя лечить все болезни.
Головной мозг регулирует работу всех систем органов, поэтому любое его повреждение ставит под угрозу нормальное функционирование всего организма, в первую очередь таких процессов как мышление, речь и память. Атрофия головного мозга в молодом возрасте и взрослом – это патологическое состояние, при котором прогрессирует гибель нейронов и утрата связей между ними. Результатом становится уменьшение головного мозга, сглаживание рельефа коры больших полушарий и снижение функций, что имеет важное клиническое значение.
Атрофией коры головного мозга чаще страдают люди пожилого возраста, особенно женщины но бывают и у новорожденных. В редких случаях причиной становятся врожденные пороки развития или родовые травмы, тогда заболевание начинает проявляться в раннем детском возрасте и ведет к летальному исходу.
Независимо от причин заболевания можно выявить общие симптомы атрофии головного мозга.
К основным симптомам признакам атрофирования мозга относятся:
Стадии течения заболевания:
Больной ведет привычный образ жизни и без затруднений выполняет прежнюю работу, если она не требует высоких показателей интеллекта. Наблюдаются в основном неспецифические симптомы: головокружение, забывчивость, депрессивность и лабильность нервной системы. Диагностика на данном этапе поможет замедлить развитие болезни.
Когнитивная функция продолжает снижаться, ослабляется самоконтроль, в поведении больного появляются необъяснимые и необдуманные действия. Возможны нарушения координации движений и мелкой моторики, пространственная дезориентация. Трудоспособность и приспособление к социальной среде падают.
По мере развития заболевания, симптомы атрофии мозга прогрессируют: снижается осмысленность речи, пациент нуждается в помощи и уходе постороннего человека. За счет изменения восприятия и оценки событий, жалоб становится меньше.
На последнем этапе происходят наиболее серьезные изменения головного мозга: атрофия приводит к . Пациент более не способен выполнять простые задачи, выстраивать речь, читать и писать, пользоваться предметами быта. Окружающим заметны признаки психического расстройства, изменение походки и нарушение рефлексов. Больной полностью теряет связь с миром и способность к самообслуживанию.
В зависимости от того, где локализован очаг поражения головного мозга, атрофия головы может проявляться преобладанием характерных признаков. Умственные способности наиболее выражено снижаются при повреждении коры больших полушарий, а чувствительность и двигательная активность – при гибели нейронов белого вещества.
Вовлечение в патологический процесс мозжечка приводит к значительному нарушению речи, координации движений и походки, а иногда – слуха и зрения. Перемены в характере и резкие отклонения в психике свидетельствуют о патологическом процессе в области фронтальных долей.
Признаки преимущественного поражения одного полушария коры мозга указывают на диффузный характер атрофии.

Предпосылки развития недуга могут быть различными, однако чаще всего выделяют следующие причины атрофии головного мозга:
К генетическим отклонениям, которые могут послужить причиной заболевания, относится болезнь Пика, возникающая в пожилом возрасте. Болезнь прогрессирует в течение 5-6 лет и заканчивается смертью.
Радиобиологические эффекты могут быть вызваны воздействием ионизирующего излучения, хотя степень его негативного влияния с трудом поддается оценке.
Нейроинфекции приводят к острому воспалению, после чего развивается гидроцефалия. Накапливающаяся при этом жидкость оказывает сдавливающее действие на кору больших полушарий, в чем и заключается механизм повреждения. Водянка головного мозга также может быть самостоятельным врожденным заболеванием.
Цереброваскулярные патологии возникают чаще всего вследствие атеросклероза и и результируют в ишемию мозга. Нарушение кровообращения становится причиной дистрофических, а затем и атрофических изменений.
Обычно применяют комплексную этиотропную и симптоматическую терапию.
Фармакологическое лечение атрофии головного мозга включает в себя:
На этапе прогрессирующей симптоматики, последующее медикаментозное лечение мозга оказывается недостаточно пациенту с диагнозом атрофия головного мозга. Что это такое и как помочь такому больному, необходимо понимать близким друзьям и родственникам, ведь именно им предстоит задача обеспечить комфорт, приятную обстановку и общение, которые так важны для него.
В тяжелых клинических случаях применяются хирургические методы лечения: стентирование и .
Прогноз атрофии головного мозга, как правило, неблагоприятный, так как гибель нервных клеток – необратимый процесс. Каждая из форм атрофии заканчивается деменцией и летальным исходом.
При цереброваскулярных нарушениях пациент может прожить до двадцати лет после начала развития заболевания, в то время как врожденные патологии стремительно развиваются и приводят к смерти больного в течение нескольких лет.
Своевременное обращение за медицинской помощью позволяет отсрочить патологические изменения и облегчить социальные последствия.